博彩评级网-博彩网_百家乐投资_全讯网新2 (中国)·官方网站

  • 在線投稿

教育教學

  • 校內新聞熱線:9291819

首頁 - 學術天地 - 正文
動科動醫學院同一健康與交叉前沿學科研究團隊在國際權威期刊《Advanced Science》發表研究論文
【發布日期: 2024-10-23】 【來源:動科動醫 】 【作者:】 【編輯:郝璞玉】 【點擊量:

近日,動科動醫學院同一健康與交叉前沿學科研究團隊在國際權威期刊《Advanced Science》(中科院一區TOP期刊,IF5-year:16.3)發表了題為“The MICOS complex subunit Mic60 is hijacked by intracellular bacteria to manipulate mitochondrial dynamics and promote bacterial pathogenicity”(《胞內病原菌通過操縱宿主線粒體接觸位點和嵴組織系統(MICOS)亞基Mic60調控線粒體結構變化并介導細菌的致病性》)的最新研究論文。動科動醫學院程昌勇教授為論文第一作者,宋厚輝教授為論文通訊作者。該研究得到了國家重點研發計劃青年科學家項目、國家自然科學基金、浙江省自然科學基金等項目的支持。

該研究聚焦重要人獸共患胞內病原菌——單增李斯特菌,系統探索了病原在感染過程中與宿主線粒體的調控關系,首次揭示了細菌重要毒力因子與線粒體接觸位點和嵴組織系統(MICOS)復合物的互作分子機制。

人和動物線粒體作為細胞中的能量供應站和決定細胞命運的重要樞紐,在細胞生理變化、先天免疫反應和新陳代謝等方面發揮關鍵功能。該研究系統闡釋了單增李斯特菌如何以宿主線粒體MICOS復合物Mic60等關鍵亞基為靶標,通過細菌毒力因子與宿主蛋白互作調控線粒體結構變化、能量代謝以及免疫逃逸等重要感染生物學過程;從病原和宿主層面解析了細菌毒力因子和宿主線粒體結構蛋白互作的關鍵結構域和氨基酸位點,揭示了細菌通過調控宿主細胞器結構和功能變化介導感染生存的生物學機理。

該研究不僅加深了我們對病原微生物在感染過程中與宿主重要細胞器互作機制的理解,而且對于研發針對重要人獸共患胞內菌的新型藥物等防控策略以及保障公共衛生安全具有重要意義。

論文鏈接:http://doi.org/10.1002/advs.202406760

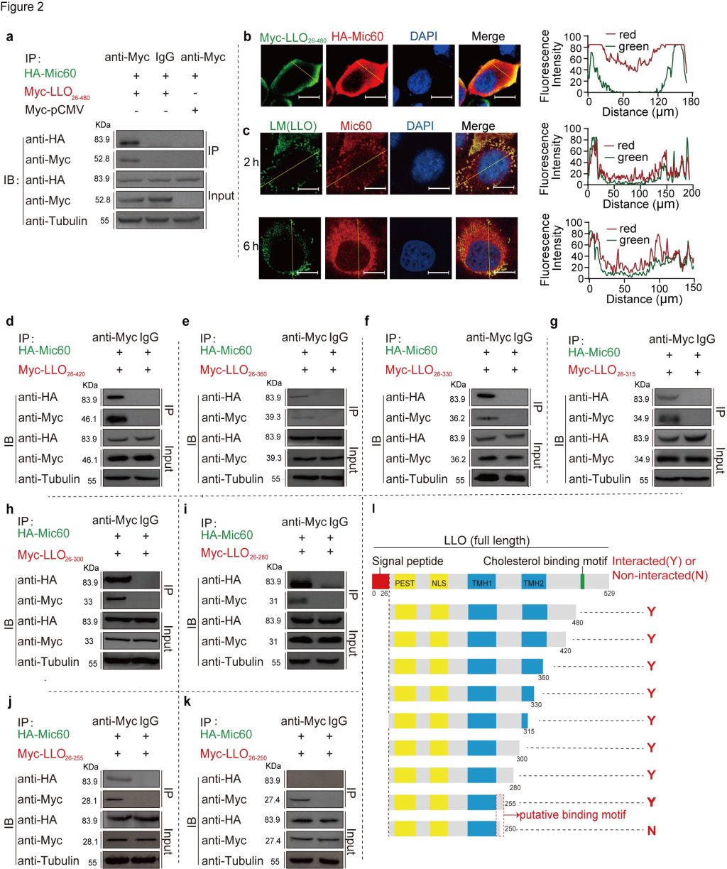
論文主要發現之一:單增李斯特菌毒力因子溶血素LLO與宿主線粒體膜結構蛋白Mic60的互作關鍵結構域和氨基酸位點

論文主要發現之二:單增李斯特菌毒力因子溶血素LLO的互作關鍵結構域和位點在細菌感染中發揮的重要作用

論文主要發現之三:單增李斯特菌毒力因子溶血素LLO調控線粒體結構變化介導細菌在宿主內感染和遷移的生物學過程

論文機制圖:單增李斯特菌毒力因子溶血素LLO通過與宿主線粒體結構蛋白互作調控線粒體結構變化的生物學過程和分子機制

(動科動醫學院)


COPYRIGHT?2011浙江農林大學 www.pcwjj.com 學校地址:浙江省杭州市臨安區武肅街666號 郵編:311300 電話:0571-63732700
 浙ICP備11046845號-1 浙公網安備33018502001115號 

寅午戌 24山图| 威尼斯人娱乐城真钱游戏| 钻石娱乐开户| 百家乐官网好津乐汇| 威尼斯人娱乐城首选802com| 百家乐官网缆法排行榜| 百家乐博彩策略| 百家乐新台第二局| 皇冠网游戏小说| 百家乐游戏下裁| 凯发百家乐官网是否是程序控制| 威尼斯人娱乐场官网326369| 百家乐官网园云顶娱乐主页| 金赞百家乐娱乐城| 银河国际| 百家乐大西洋城v| 百家乐官网怎么| 皇冠足球网| 百家乐官网三珠连跳打法| 网上百家乐官网游戏玩法| 皇冠现金投注网| 百家乐官网最新破| 大发888娱乐城游戏lm0| 苹果百家乐官网的玩法技巧和规则| 百家乐破解秘籍| 百家乐官网必胜下注法| 百家乐官网投注方向| 大发888娱乐在线客服| 百家乐998| 百家乐官网电投网站| 七胜百家乐娱乐| 百家乐官网好赌吗| 大发888新澳博| 玩百家乐澳门368娱乐城| 任我赢百家乐官网自动投注分析系统| 大发888下载df888| 百家乐这样赢保单分析 | 百家乐一代龙虎机| 百家乐官网注册优惠平台| 大发888游戏加速器| 诺贝尔百家乐的玩法技巧和规则 |